小児歯科

当院の小児歯科

当院の小児歯科

「こわくない・がんばれる・楽しく通える」歯医者さんへ
子どもの歯の健康は、将来の体の健康にも大きく関わってきます。祁答院歯科クリニックでは、お子さんが“歯医者嫌い”にならないように、一人ひとりのペースに合わせたやさしい診療を心がけています。

お子さんが小さいうちから上手にフッ化物を使って、
むし歯のないこどもに育てましょう。

私たち親世代はむし歯予防には歯ブラシが一番重要であると教わってきました。しかし、「歯ブラシをしているのにむし歯になってしまった」という経験はありませんか?日本のむし歯予防の教育は歯ブラシばかりが強調されてフッ化物が重要視されてきませんでした。その結果フッ化物が広がっている先進国に比べて日本は以前としてむし歯が多いのです。

こどもにむし歯をつくらないために必要なたったひとつの習慣とは?

むし歯ができる子は
「3歳」までに
最初のむし歯ができます。

3歳までのむし歯予防が大切な理由

こどもにむし歯をつくらないために必要なたったひとつの習慣とは?

「乳歯はいずれ抜けるから、むし歯になっても大丈夫」と思っていませんか? 実は、乳歯にむし歯があると、永久歯にもむし歯ができやすくなることがわかっています。さらに、3歳までにむし歯がない子は、その後もむし歯ができにくい傾向にあります。 つまり、「3歳までにむし歯をつくらないこと」が、一生を通じてむし歯を防ぐための大切なステップなのです。

実は検診だけではわからないことも

3歳児検診や保育園の健診では、初期のむし歯は見つからないことも多いのが現状です。そのため、乳歯の時期から子どもの歯を診るのが得意な歯科医院で定期的なチェックと予防を行うことがとても大切です。

フッ化物でむし歯に強い歯へ!

歯が生えてから2〜3年の間は、歯の表面が弱く、むし歯になりやすい時期です。この時期にフッ化物を正しく使うことで、歯が強くなり、むし歯への抵抗力が高まるといわれています。

こどもにむし歯をつくらないために必要なたったひとつの習慣とは?

むし歯ゼロを目指すために大切な4つのこと

むし歯は、正しいタイミングとケアで予防できる病気です。特に大事なのは、「3歳までの受診」と「9歳までの習慣づくり」。

① 3歳までに歯科を受診する

この時期は「むし歯がない状態を保つ」ための最重要期間。歯科医院でのフッ化物塗布と、保護者の方への食事や歯みがきの指導が予防の基礎になります。

② フッ化物塗布+家庭でのフッ化物洗口

歯の表面を強くするフッ化物は、定期的な歯科での塗布に加えて、家庭でのフッ化物洗口の習慣化が非常に効果的です。特に6歳ごろから生えてくる第一大臼歯(6歳臼歯)は、生えた直後から2年間が最もむし歯になりやすい時期です。この大切な時期にフッ化物を毎日届けるために、家庭でのフッ化物洗口(うがいタイプ)の活用をおすすめします。
だから「9歳まで」がとても大切
第一大臼歯のリスクが落ち着くのがだいたい9歳ごろ。それまでに予防の習慣をしっかり身につけることで、一生むし歯になりにくい口の環境が整います。

③ 飲食回数の管理

「何を食べるか」より「何回食べるか」がむし歯予防のカギです。口の中が頻繁に酸性状態になると、むし歯菌が活動しやすくなります。

  • 食べる時間を決める
  • 飲み物は基本的にお茶やお水に
  • 甘いものは「時間・頻度・後処理(うがい)」を意識

④ 9歳までは仕上げ磨きを続ける

小学生になると「自分で磨ける」と思いがちですが、奥歯や歯の間は磨き残しやすく、むし歯リスクが高い部分です。9歳ごろまでを目安に、保護者による仕上げ磨きを習慣化しましょう。

むし歯予防の3つの約束

①フッ化物の利用・3歳以下ジェル塗布・3歳以上は洗口

むし歯予防の3つの約束
むし歯予防の3つの約束
むし歯予防の3つの約束
むし歯予防の3つの約束

②飲食回数を守る 3歳以下1日2回・3歳以上1日1回

むし歯予防の3つの約束

砂糖のとり過ぎはむし歯の原因にもなり、体の正常な代謝を狂わせます。
特に味覚の形成に影響のでる年齢です。中毒性が高い砂糖のとり過ぎは偏食の原因になります。糖分のとり過ぎに気を付けましょう!

③仕上げみがき 
小学3年生までは仕上げ磨きが必要。

【6歳臼歯】はえた直後から2年間がむし歯になりやすいのです
むし歯予防の3つの約束

生涯むし歯なしで過ごすには
6歳最重要

生涯むし歯なしで過ごすために、もっとも重要な年齢とは?

生涯、むし歯なしで過ごしたい、むし歯治療を経験したくない、むし歯の痛みを経験したくない
そうお考えのご家族に重要な情報をお伝えします。

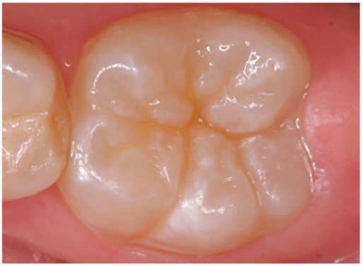
永久歯で一番最初に生えてくる奥歯は【6歳臼歯】と呼ばれます。ほとんどの子供さんで6歳ごろに生えてくることから、そう呼ばれています。実はこの【6歳臼歯】がむし歯にならなければ、その後に生えてくる他の永久歯もほとんどむし歯にならないことがわかっています。ただ、この【6歳臼歯】はとてもむし歯になりやすい歯の形をしています。下のイラストのようにかむ面の溝がとても細くて深く、歯ブラシでは汚れを取ることが難しいのです。

生涯むし歯なしで過ごすには6歳が最重要

この溝を
拡大してみると

生涯むし歯なしで過ごすには6歳が最重要
生涯むし歯なしで過ごすには6歳が最重要
生涯むし歯なしで過ごすには6歳が最重要

そんな溝のかたちが影響して、【6歳臼歯】のむし歯はこの溝から発生することがほとんどなのです。更には、はえた直後から2年間がむし歯になりやすいのです。

ですから、【6歳臼歯】が生えてすぐに、この溝を樹脂で埋めてあげる処置がむし歯予防に効果を発揮します。この溝を埋める処置をシーラントといいます

【6歳臼歯】にシーラント処置を行い、
むし歯にしないことで、
生涯むし歯なしで過ごせる可能性が高くなります!

シーラント処置をしないと・・

生涯むし歯なしで過ごすには6歳が最重要

細く深い溝には汚れがたまったままになり、むし歯を作ってしまう可能性があがります。そしていちどむし歯になってしまい削って治療をしてしまうと、歯の寿命は短くなってしまいます。

6歳ごろにはえてくる
【6歳臼歯】のシーラント処置で
生涯むし歯なしで過ごすことを
目指してみませんか?

むし歯のリスクチェック

むし歯のリスクチェック

唾液の性質
①唾液緩衝能 → 酸性を中和する力
②唾液の量
③唾液のpH

変えるのはむずかしい

むし歯のリスクチェック
むし歯のリスクチェック

④う蝕経験
過去に治療した歯の本数、また現在治療が必要な歯の本数

過去は変えられない

むし歯のリスクチェック

⑤ミュータンス菌(むし歯菌)
ミュータンス菌と呼ばれるむし歯菌の数

常在菌は変わりにくい

むし歯のリスクチェック

⑥プラーク量
プラークとは細菌の塊のことです。

ハミガキも意外と難しい
100%除去するのに6時間

むし歯のリスクチェック

⑦フッ化物プログラム
フッ化物はむし歯を予防するのにとても重要な存在です。

フッ化物を毎日使うだけ!

むし歯のリスクチェック
むし歯のリスクチェック

⑧飲食回数
糖分を摂取する頻度が多いとお口の中がむし歯になりやすい酸性の状態になります。

3歳までおやつ2回
4歳からおやつ1回

むし歯のリスクチェック

3歳以下の膝上診療

3歳以下の膝上診療

当院ではお子さんの一生むし歯ゼロを目指しています。ただ、3歳以下のお子さんは診療室でできることが限られています。できない子がほとんどです。どのお子さんも最初は上手くできません。なのでまずは歯医者さんになれることからはじめで少しずつできることを増やしていきましょう!!

3歳以下の膝上診療
むし歯予防で一番大切なのは
フッ化物です!

〜今日すること〜

  • ①むし歯のチェック
  • ②むし歯のリスクチェック
  • ③歯ブラシ
  • ④フッ化物塗布
  • ⑤むし歯があれは進行抑制

注意事項!

  • 3歳までは診療チェアーではなく膝の上でお口をチェックします
  • 泣いてしまう子がほとんどです
  • 正しい診断のためにお子さんを抑えさせていただく場合があります
  • 極度に嫌がる場合には無理矢理進めず中断する場合もあります
  • 今の時期は歯医者さんにトラウマを持たせずできることを増やしていくことが大切です!!
3歳以下の膝上診療

あなたのお子さんを『一生むし歯ゼロ』にするにはお子さん以上に保護者の皆様のご理解とご協力が必要不可欠です。祁答院歯科クリニックでは『一生むし歯ゼロ』を目指すためにサポートを全力でさせていただきます。一緒に『一生むし歯ゼロ』をめざしませんか?